久しぶりの健診
70才になったので、Aさんは久しぶりに健康診断を受けることにした。左官業を営み、毎日現場に出ていたので、病気知らずの丈夫な身体だと自負していた。仲間と飲めば「蟒蛇(うわばみ)」といわれるほど飲むこともあったが、仕事の最中は、いくら暑くとも生ビール大ジョッキ一杯ほどにしておく職人気質も持っていた。その年の冬はひどく冷え込んで、風が吹き込む現場はことのほか厳しいものだった。2月の初めに熱を出し、ひどくせき込んだことがあり、それが一か月ほど続いていたが、身体に自信のあるAさんは特に病院へは行かなかった。
健康診断を受けたのが3月23日。「健康な時に来てくださいね」と予約を取った時に病院のスタッフにいわれていたが、自分では問題ないと思っていた。受診後1週間ほどして、結果を聞きに再度病院に行った時に、「Aさん、右の肺に影がありますね」と医師にいわれて驚いた。

医師の勧めで肺のCTを4月4日に撮ったところ「右中葉S4の炎症性変化」であることが分かった。肺癌ではないかと心配していたが、それはないと分かって一安心した。どうも、長く続いた咳の原因がこれだったらしく、医師が処方したクラリスロマイシン400mg/日を4月10日から10日間服用した。
思わぬところに意外なものが・・・
Aさんの病状は、外来医を長くやっている私にしても、あまり見ないイプの限局性肺炎だった。免疫力が通常であれば、急性の転機で発熱、咳、痰、全身倦怠などの症状が前面に出てもおかしくないのだが、くすぶるように炎症が続いていた。クラリスロマイシンによる治療はうまくいって、経過観察のために5月16日に再度胸部CTを撮った時には、右中葉(S4)の炎症性変化は改善し、病巣は縮小した。
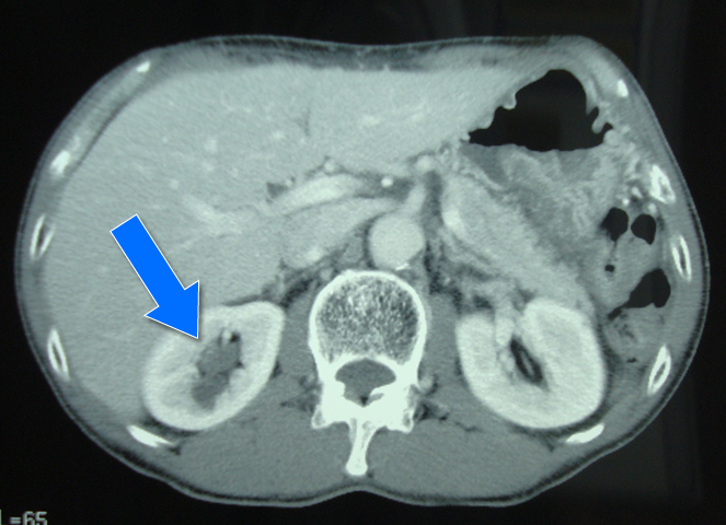
画像診断をお願いしているクリニックでは、以前は腹部なら腹部、胸部なら胸部だけを丁寧に撮影して読影してくれた。それで十分なのだが、最近は腹部をオーダーした時には肺の一部を、胸部をオーダーした時には腎臓のある位置まで撮影してくれるようになった。CTの撮影時間はかなり早くなっているので、ざっと大まかな全体像を作るのは訳ないことだ。しかし、保険診療では撮像部位によって保険点数のルールが決まっているから、オーダーが肺癌の疑いであれば、勝手に腹部CTを撮るわけにはいかない。しかし、本稿で示すように、位置決めの準備のための撮像で、偶発的に何か発見をすることが増えてきたのだと思う。放射線診断医にとって、それを見過ごすわけにはいかない。AさんのCT画像でも、同時に撮像された腎臓に結石と右腎盂に軟部組織濃度を示す腫瘤が見つかった。後日造影CTを行って、それが腎盂癌である可能性が高まったため、専門医療機関に紹介。7月19日に右腎尿管全摘+膀胱カフ状切断術を行い、完治となった。

その2年後に腎盂癌の経過観察中に膀胱癌が発見され、こちらは経尿道的膀胱腫瘍切除術を施行した。
胃炎の陰に隠れていたものは・・・
63才のBさんは外車販売の支店長。ここのところ「その筋の人」からマセラッティの購入依頼があって神経をすり減らしていた。夏の暑い7月3日に、契約のこじれから慢性胃炎の急性憎悪を来たし、急性腹症(腹・背部痛発作)でクリニックを受診した。Bさんはお腹を抱えて身動きするのも痛々しく、診察ベッドにもゆっくりと横になる状態だった。診察すると、腹部は柔らかいが膨満し、打診でガスが多くなっているのが分かった。早速行った腹部超音波で異常はなく、点滴と内服薬で腹痛はかなり改善したが、念のためにと腹部CT(単純)を2日後に予約した。結果は、「左腎中極の腫瘍疑い、左副腎腫瘍疑い」を指摘された。

再度7月9日に造影CTを行ったところ、放射線医の診断は、「左腎臓癌(腎筋膜内、後腹膜腔内)、左腎門部近傍傍大動脈リンパ節腫大、腸間膜リンパ節腫大、左副腎腫瘍(転移疑い)」だった。

T大学病院によく知っている泌尿器科の教授がいたので、お願いをしたところ、左腎腫瘍腎門部リンパ節転移の診断の元に、「左腎摘除術+腎門部リンパ節摘除術」が行われた。病理診断は「Granular cell carcinoma, Grade3, expansive type, INF-beta, v(-), pT1b, pN1,リンパ節にもcarcinomaを認める」だった。
術後追加療法としてインターロイキン投与を選択。Bさんは会社を早期定年退職し、以後9年間にわたって、ネクサバール+イムネース ⇒ スーテント⇒トーリセル(MTOR阻害薬)⇒ ソラフェニブ ⇒ テムシロリムス ⇒ インライタ(アキシニチブ)と治療を続けた。
しかし抗癌剤によって、全身倦怠、食思不振、手足症候群、うつ病、糖尿病、甲状腺機能低下症、高血圧、蛋白尿、低Na血症、パーキンソニズムなどの様々な副作用が出現し、一時は認められた腫瘍縮小効果も次第になくなって、肝転移、肺転移、全身リンパ節転移となったため、本人と家族、大学病院の治療医との話し合いで、治療開始9年後の5月に抗癌剤を中止することとなった。
Bさんはその後も急性胆嚢炎になって胆嚢摘除術を受けたり、気胸手術を受けたり、急遽心臓病で入院するなど、いろいろなことがあったが、抗癌剤を中止したために体調はすこぶる良くなり、家族との温泉旅行を楽しみ、町内会の会合があると寿司屋で友人と飲食するなど、楽しく時を過ごしている。
糖尿病悪化の背後に・・・
77歳のCさんは宇宙開発の仕事に携わってもう40年になる。海のものとも山のものとも分からない、先の見えないプロジェクトを任されていた。大学時代はラグビー部だったので、仲間と大酒を飲むことが当たり前だった。それが70才になっても、若いころとほぼ同じ量の酒を飲み肉を食らう。糖尿病や痛風になってもおかしくはない。自己責任であることは間違いない。それでも、健康で働きたい、うまい酒が飲みたい、とCさんはクリニックにやってきた。
「TW大学の主治医はどうも糖尿病は専門じゃないらしくて、循環器だからかな、糖のコントロールが悪いのは俺のせいだっていうんですよ」
血液検査をすると、血糖164mg/dl、HbA1c8.3%と上昇していた。糖尿病はまず食事・運動療法から、というのが本筋で、行動変容を来たしづらい大学病院の外来ではなかなか本人への指導は難しい。当院で少し処方を変更し、アマリール3mg、セイブル150mg、グリコラン500mgの投与を行ったところ、HbA1c6.0%まで改善し、以後数年の間good controlだった。
そのCさんが、数か月前から胸部の圧迫感を訴えるようになった。T大学病院の循環器科で心臓カテーテルを行ったところ強い狭窄が冠動脈にあり、運動制限がかかった。それに加えて、最近は脊柱管狭窄症の痛みがあるために運動をほとんどせず、制限指示をしていた甘いもの、果物も大量に食すようになった。そのためか、T大学病院の循環器科での検査でHbA1cが9.2%となったという。
「T大学病院で、クリニックの先生の薬が糖尿病に良くないっていうんですよ。今止められちゃっているんだけど、どうすりゃいいかな。大学病院では、『教育入院』をしろっていうだよね、その際に、今までどんな経過なのか、クリニックの先生から情報提供書が欲しいらしい。出来ますか? 明後日だけど」
「もちろん。書いてすぐにFAXしておきますよ」
と返事をして、さっそく手紙を書いて主治医の先生に送っておいた。
先日Cさんが来院して、思いがけないことを話してくれた。
「どうも、クリニックの先生の薬が悪いなんてことはなかったみたいで、調べたら『膵臓癌』だったらしい。で、肝臓にも転移があるから手術は出来ないって。結局、癌専門病院に送られて、どんな治療をするか検討してもらっているところです」
やはり、糖尿病が急に悪化する背後には、膵臓癌などの膵疾患が隠されている場合があり、我々は相当注意を払わないといけない。
急に糖尿病が顔を出した・・・
先日も68歳の女性でこんなことがあった。とても元気な健康な女性で、毎年の健康診断の結果もコレステロール値が若干高い以外は問題なく、高血圧の治療を10年ほどしていた。今年の健診で、初めて空腹時血糖が133mg/dl、HbA1cが6.9%と2型糖尿病を示した。型の如く食事と運動療法を勧めて、2か月後に再検査とした。結果は空腹時血糖127mg/dl、HbA1c6.7%と若干下がったものの、血清アミラーゼがやや上昇していた。勘が働いたというのか、「膵臓に腫瘍が出来る場合も、急に糖尿病が顔を出すことがあるので、少し調べてみましょう」と本人との合意の上で腫瘍マーカーを調べてみた。すると、CEAは正常だったが、CA19-9の値が64.5U/ml(正常値:37U以下)と上昇していた。
これは何かあるかもしれないと、造影剤を使ったマルチスライスCTをオーダーしたところ、結果は以下の画像のように異常陰影が見つかった。放射線診断医の所見は「膵鈎部に20mm大の嚢胞性病変があるように見え、分枝膵管型IPMNの疑い」だ。テレビドラマなら「臨床医の推論は、次々と現実の病変へと導かれて行った」とでもいいたいような展開だった。胆石もあったため、大学病院の肝胆膵外科の専門医に紹介状を書いて専門外来を受診して頂いた。現在の所は精査中だが、専門家の目の届く範囲にいれば安心だ。

「チャンス」は走りながら駆け抜けていくという。「チャンス」には前髪しかなく、それを掴まなければすぐに逃げて行ってしまうのだ。偶然を必然に変えて医療をしなければ、患者の健康を守れない。だから、次のチャンスがやって来るのを待ち構える持久力、それに眼力と筋力と瞬発力と敏捷性と知力と想像力を鍛えることが必要だ。まるでアスリートのように。